444 3 703

Trans Özofageal Ekokardiyografi (TEE) Nedir? Hangi Hastalıklar İçin Uygulanır?

 

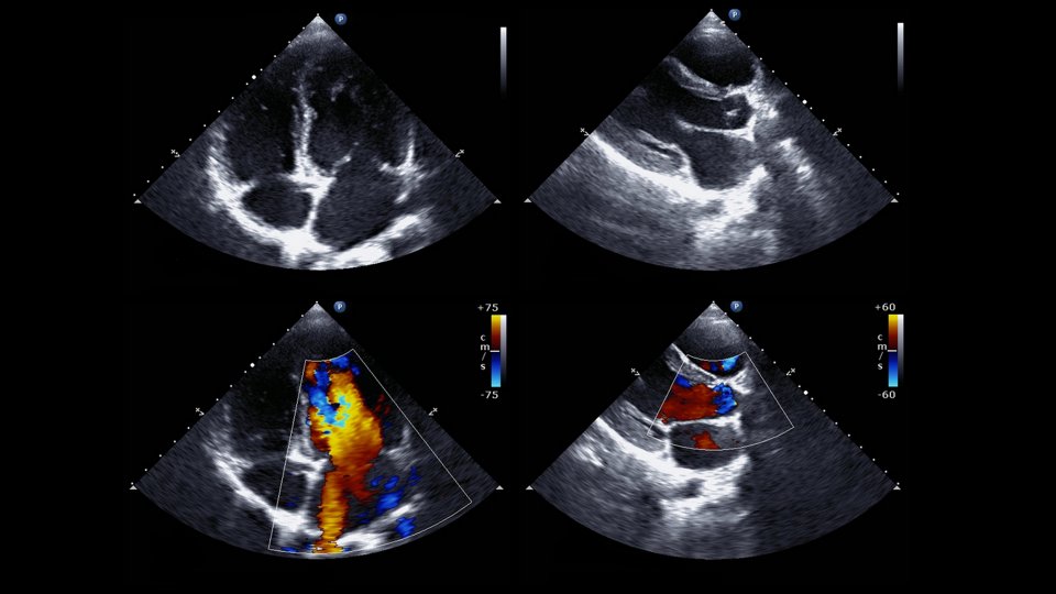
TEE, kalple ilgili yeterli görüntü alınmadığı durumlarda uygulanan tanı yöntemlerinden biridir.

Trans Özofageal Ekokardiyografi Nedir?

“Transözofageal ekokardiyografi nedir?” sorusunu daha kapsamlı yanıtlamak gerekirse:

Hastanın göÄŸüs yapısı belirli nedenlerle yeterli kalitede görüntü vermediÄŸinde ya da kalp oluÅŸumlarını daha yakından incelemek gerektiÄŸinde uygulanan bir yöntemdir. TEE olarak da bilinen trans özofageal ekokardiyografi, endoskopik bir incelemedir. Aynı zamanda kalp endoskopisi ve kalp ultrasonu olarak da bilinir.

TEE Hangi Hastalıklarda Uygulanır?

TEE kalp yapısında pıhtı ya da enfeksiyon araÅŸtırılmasında, aort yırtılmalarının teÅŸhisinde, protez kapak fonksiyonlarının deÄŸerlendirilmesinde, kalp kapağı yetersizliÄŸi durumunun belirlenmesinde, kalp deliklerinin incelenmesinde, kalp kapak ameliyatları ya da kalp delikleri için yapılan cerrahi iÅŸlemlerin sonucunun deÄŸerlendirilmesinde kullanılır.

Trans Özofageal Ekokardiyografi Nasıl Yapılır?

“TEE nasıl yapılır?” sorusu da merak edilenler arasında. Bu iÅŸlem ucunda ince bir ultrason probu bulunan tüp yemek borusuna yerleÅŸtirilerek uygulanır. Yemek borusu kalbin hemen arkasından geçtiÄŸinde bu inceleme ile kalp ve etrafında bulunan damarlar daha net görüntülenebilir. İşlem uygulanmadan önce hastanın boÄŸazı anestezi spreyi ile uyuÅŸturulur. TEE testi toplamda 30 dakika sürer.

TEE Sonrası Boğaz Ağrısı Olur mu?

TEE testi yaptıranların yorumları iÅŸlemden sonra yutkunurken aÄŸrı ve zorluk ve boÄŸazda aÄŸrı olacağı yönünde. Ancak bu aÄŸrılar 1-2 gün içinde kendiliÄŸinden geçer.

Web ve Tıbbi Yayın KuruluGüncellenme Tarihi: 16.08.2022 00:00Yayınlanma Tarihi: 16.08.2022 00:00
Yorum Ekle


KATEGORİLER