Yeterli D vitamini almak sağlıklı kemikler ve dişler için çok önemlidir. Çocuklarda D vitamini eksikliği, kemiklerin zayıf ve yumuşak olduğu ve deforme olabileceği raşitizm adı verilen bir duruma yol açabilir. Yetişkinlerde düşük D vitamini seviyeleri osteoporoz veya kemiklerin incelmesi riskinizi artırabilir. Ancak D vitamini kemik sağlığından çok daha fazlası için önemlidir. D vitamini şu durumlarda rol oynayabilir:
“D vitamini eksikliği nedir?” sorusu merak edenler için şu şekilde yanıtlanabilir:
D vitamini vücudumuz için en önemli vitaminlerden biridir ve daha da iyisi dışarı çıkıp güneşin tadını çıkararak bu vitaminin faydalarını alabilirsiniz. Bu yararlı vitamin dişlerinizi, kemiklerinizi ve kaslarınızı sağlıklı tutmak için yediğiniz gıdalardan kalsiyum ve fosfat emilimini sağlar. Peki D vitamini eksikliği neden olur? Yeterince güneş ışığı alınmazsa veya D vitamini açısından zengin besinler tüketilmezse D vitamini eksikliği yaşanır.
Pek çok insanda D vitamini eksikliği belirtileri görülmez veya yalnızca yorgunluk, genel ağrılar gibi belirsiz şikayetler yaratır. D vitamini eksikliğinin belirtileri genellikle belirsiz olduğu için sorun gözden kaçabilir. Özellikle kemik deformitelerine sebebiyet veren ciddi eksikliklerde tanıya daha kolaydır. Birçok insan düşük D vitamini seviyelerine sahiptir ancak vitamin eksikliği olarak sınıflandırılacak kadar değildir. D vitamini seviyeleriniz eksik seviyelerin üzerindeyse ancak yine de normalin altındaysa herhangi bir semptomunuz olmasa bile yine de D vitamini takviyesi yapmalısınız.

Bebeklerde D vitamini eksikliği belirtileri kramplar (kas spazmları), nöbetler ve solunum güçlükleri olabilir. Bu problemler bebeklerde D vitamini eksikliği ve düşük kalsiyum seviyeleri ile ilgilidir. Bu nedenle bebeklerde D vitamini eksikliği belirtisi iyi gözlemlenmelidir. Bebek D vitamini eksikliği yaşıyorsa gerekli tedavi süreci başlatılmalıdır.
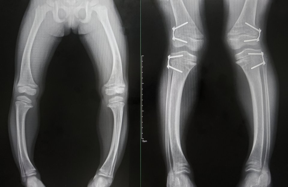
Çocuklarda D vitamini eksikliği şiddetliyse bu durum raşitizme neden olur. Bunun yanı sıra çocuğun büyümesi yavaştır, diş çıkarma dönemi geç başlar ve D vitamini eksikliği olan çocuklar enfeksiyonlara daha yatkındır. Şiddetli vakalarda solunum semptomları ortaya çıkabilir. Zayıf göğüs kasları ve yumuşak göğüs kafesi nedeniyle solunum etkilenebilir. Raşitizm çok şiddetli yaşandığında da kalsiyum seviyelerinin düşmesine neden olabilir. Bu kas kramplarına, nöbetlere ve nefes alma zorluklarına yol açabilir. Nadiren aşırı derecede düşük bir D vitamini seviyesi kalp kasının zayıflığına (kardiyomiyopati) neden olabilir.
Bazı insanlar genel bir yorgunluktan, belli belirsiz ağrı ve sızılardan ve genel olarak iyi olmama duygusundan şikâyet eder. Daha şiddetli eksiklikte ise daha şiddetli ağrı ve ayrıca güçsüzlük olabilir. Kas güçsüzlüğü, merdiven çıkmada, yerden veya alçak sandalyeden kalkmada zorlanmaya neden olabilir veya kişinin sallanarak yürümesine neden olabilir.
D vitamini eksikliği belirtisi ile raşitizm (yetişkinlerde osteomalazi olarak adlandırılır) görülebilir. Raşitizm kemikleri etkileyen bir durumdur. Yumuşak ve zayıf olmalarına neden olarak genellikle şekil bozukluklarına ve kırıklara yol açar. Ancak vücudumuzun yeterli D vitaminine ihtiyaç duyan tek parçası kemiklerimiz değildir. D vitamini eksikliği kas zayıflığı ve yorgunluk da yaratır. Çalışmalar D vitamini eksikliğinin bağışıklık sisteminin bozulmasına neden olacağını da gösterir. Beyindeki D vitamini reseptörleri beyin hücrelerinin sinyalleri alıp işlemesine yardımcı olur. Yani D vitamini eksikliği beynin iletişim şeklini etkileyebilir.

“D vitamini eksikliği hangi hastalığa yol açar?” sorusu merak edenler için şu şekilde yanıtlanabilir:
Yetişkinlerde uzun süre görülen D vitamini eksikliği; kas güçsüzlüğü, kemik erimesi, düşme ve kemik yapısında bozukluğa yol açar. Bu eksiklik çocuklarda da raşitizm adı verilen D vitamini eksikliği hastalığı görülmesine neden olur.
“D vitamini eksikliği nelere yol açar?” sorusu kadar bu vitamine ne kadar ihtiyaç duyulduğu da merak konusu. D vitamini bazen 'güneş ışığı vitamini' olarak bilinir. Güneş ışığına maruz kaldığınızda cildinizde doğal D vitamini üretilir. Güneşin yetersiz olduğu mevsimlerde mutlaka takviye olarak ve yalnızca doktor onayı ile alınmalıdır. Bazı insan grupları düşük D vitamini riski altındadır. Aşağıdaki durumlarda tüm yıl boyunca D vitamini takviyesi almanız önerilir:
D vitamini eksikliği tedavi için Dünya Sağlık Örgütü yetişkinler tarafından alınması gereken takviyeyi 400-800 IU, yenidoğan bebeklerde 400 IU ve 65 yaş üstü kişilerde ise 15 mg (600 UI) olarak tavsiye eder. Bu takviyeler kandaki D vitamini seviyesine bakılmaksızın önerilen oranlardır.
D vitamini eksikliği hastalıkları Türkiye’de yapılan araştırmalara göre her 10 kişiden 9'unda D vitamini eksikliği görülmekte. Vücudunuz sadece doğrudan güneş ışığına maruz kaldığında D vitamini üretebilir. Bu bazı insanlar için yaz aylarında mümkün olabilir ancak daha karanlık kış aylarında herkes için zorlaşır. Fazla dışarı çıkmayan, koyu tenli veya hayvansal ürünler yemeyen kişilerde doğal olarak D vitamini eksikliği riski daha fazladır. Bu nedenle uzmanlar özellikle sonbahar ve kış aylarında herkesin D vitamini takviyesi almasını tavsiye etmekte. D vitamini eksikliği bunun dışında veganlarda, güneş ışığına maruz kalmayan kişilerde, daha koyu tenli insanlarda ve 50 yaş üstü olanlarda görülür.

Besinler çok az D vitamini içerir. Peki D vitamini hangi besinlerde var? İşte bu besinler:
Durumun teşhisi belirtiler, yaşam tarzı ve tıbbi geçmişinizden şüphe duyulması ile gerçekleşir. Tam tanı ise basit bir kan testi ile gerçekleşir.
“D vitamini eksikliği nasıl giderilir?” diye merak ediyorsanız en etkili tedavi D vitamini takviyesi almaktır. D vitamini enjeksiyon veya ilaç (sıvı veya tablet) olarak da verilebilir. Doktorunuz genel durumunuzu, yaşınızı, eksikliğin seviyesini gözden geçirerek dozu ve en iyi tedavi programını planlar.
Diğer bazı ilaçları alıyorsanız, böbrek taşı, bazı böbrek hastalığı türleri, karaciğer hastalığı veya hormonal hastalığınız varsa, yüksek kalsiyum seviyesine veya belirli kanser türlerine sahipseniz mutlaka bir uzman görüşü almalısınız.

“D vitamini eksikliği ne yemeli?” diye merak ediyorsanız işte yapabilecekleriniz: Diyetinizi doğal D vitamini kaynaklarıyla zenginleştirin. D vitamini takviyesi alın. Daha fazla güneş ışığına çıkın.
“En yaygın D vitamini eksikliği belirtileri nedir?” diye merak ediyorsanız D vitamini eksikliği laboratuvar bulguları yaratan en yaygın belirtiler şunlardır:
D vitamini eksikliği tedavisi için bilgi talep formu doldurabilirsiniz.
Kanınızdaki 25-hidroksivitamin D konsantrasyonunu ölçmek D vitamini eksikliğini belirlemenin en iyi yoludur. Bu nanomol/litre (nmol/L) veya nanogram/mililitre (ng/mL) cinsinden ölçülür. 20 ng/mL ile 50 ng/mL arasındaki bir seviye sağlıklı bir aralıktır. 12 ng/mL'den az tespit edilirse D vitamini eksikliğiniz var demektir.
Tam kan sayımı genel sağlığınızın anlık görüntüsünü veren yaygın bir kan testidir. Vitamin eksiklikleri de dahil olmak üzere bir dizi sağlık durumunun belirlenmesinde yardımcı olabilir.
D vitamininin insan beynine nasıl etki ettiği hala araştırılmakta. Ancak beyninizin D vitamini reseptörleriyle dolu olduğu bilinen bir gerçek. Bunlar vücudunuzun geri kalanıyla iletişim kurma eylemleri de dahil olmak üzere bir dizi işlevin yerine getirilmesine yardımcı olur. D vitamini düzeylerinin beynin öğrenme, hafıza ve ruh halini yöneten kısımlarını etkileyebileceği düşünülmektedir.
“D vitamini eksikliği saç dökülmesi yapar mı?” diye merak ediyorsanız hem D vitamini eksikliği hem de D vitamini fazlalığının saç dökülmesine neden olabileceğini bilmelisiniz.
D vitamini eksikliği cilde etkisi kuru, kırmızı ve kaşıntılı bir cilt yaratmasıdır. D vitamini alımı bu tür cilt problemlerini tedavi etmenize yardımcı olabilir. Ayrıca cilt döküntülerini azaltabilir. D vitamini aynı zamanda bir cilt rahatsızlığı olan egzama tedavisinde de faydalıdır.
“D vitamini eksikliği için neler yemeliyiz?” diye merak ediyorsanız somon, kılıçbalığı, ton balığı, D vitamini ile zenginleştirilmiş portakal suyu, D vitamini ile güçlendirilmiş süt ve bitki sütleri, sardalya, sığır karaciğeri, yumurta sarısı ve kuvvetlendirilmiş tahıllar tüketmeye özen göstermelisiniz.
D vitamini vücuttaki fosfat ve kalsiyumu düzenlemeye yardımcı olur. Bu besinler kemik, diş ve kas sağlığı çin gereklidir. D vitamini eksikliği, çocuklarda raşitizme ve yetişkinlerde de osteomalaziye neden olur.
D vitamini alan ve kan seviyeleri normale dönen kişilerin kan seviyeleri düşük kalanlardan daha fazla kilo verdiği bazı araştırmalarla bulunmuştur. “D vitamini eksikliği kilo yapar mı?” diye merak ediyorsanız D vitaminini sağlıklı bir aralıkta tutmalısınız.
Yeterli D vitamini almayan bebeklerde eksiklik görülür. D vitamini seviyeleri düşük olduğunda bebekler kemiklerin büyümesini ve gelişmesini etkileyen raşitizm riski altındadır. Bebeğinize günlük bir doz damla vererek yeterli D vitamini almasını sağlayabilirsiniz.
Balık karaciğeri yağı, yağlı balıklar ve yumurtaların hepsi D vitamini içerir. Ancak diğer pek çok gıda onu doğal olarak içermez, bu nedenle çoğu D vitamini ile takviye edilir. Bu nedenle gebelik sürecinde D vitamini seviyesi kontrol ettirilmeli ve uzman görüşü alınmalıdır.
Aslında D vitamini eksikliği hem kadınlarda hem de erkeklerde kısırlığa neden olabilir. Yapılan çalışmalarda polikistik over sendromlu kadınlarda D vitamini eksikliğinin, rahim miyomlarının yanı sıra rezervlerinde azalma ile ilişkisi olduğu ortaya konmuştur. Erkeklerde sperm sayısını ve morfolojisini etkilediği öne sürülmüştür.
D vitamini eksikliği hem fiziksel hem de zihinsel sağlığı etkileyebilir ancak birçok insan farkında olmadan düşük D vitamini seviyelerine sahiptir. Eksikliğin fiziksel belirtileri arasında genellikle dizlerde, bacaklarda ve kalçalarda ortaya çıkan romatoid artrit ağrısı da dahil olmak üzere eklemlerdeki kas ağrıları sayılabilir.
Bu sorunlardan biri ağız kokusudur (kötü nefes). Temel makro ve mikro besinler içermeyen bir diyet şunlara yol açabilir: D vitamini eksikliği (ağız kokusuna yol açan diş eti hastalığı) C vitamini eksikliği (ağız kokusuna yol açan diş eti kanaması)
Bulgularımız şiddetli D vitamini eksikliği ile görsel hafıza azalması arasında bir ilişki olduğunu ancak sözel hafıza azalması ile bir ilişki olmadığını gösterebilir. Bu nedenle bir uzman tarafından değerlendirilmelidir.
Baş dönmesi, yorgunluk ve beyin sisi ile birlikte D vitamini eksikliğinin yaygın bir belirtisidir. Sürekli başınız dönüyorsa D vitamini seviyenizi kontrol ettirmelisiniz. Yetersiz D vitamini kan basıncının ve sıvı dengesinin korunmasında rol oynadığı için baş dönmesine neden olabilir.
D vitamini eksikliği baş ağrısıyla bağlantılıdır çünkü iltihabı ve nöronlarınızın nasıl çalıştığını etkileyebilir. Takviye almak, baş ağrılarının meydana gelme sıklığını azaltabilir.
Düşük D veya B-12 vitamini seviyeleri bazı insanlarda mide bulantısına neden olabilir.
D vitamini eksikliği nedeniyle kırmızı, kuru ve kaşıntılı bir cilt yaşayabilirsiniz. D vitamini alımı ile bu tür cilt problemlerini azaltabilirsiniz.
Yapılan bazı araştırmalar daha düşük bir D vitamini seviyesi, düzensiz bir döngüye sahip olma olasılığının 13.3 katı ile ilişkilendirmekte.
D vitamini eksikliği, kalp hastalığı ve yüksek tansiyon (hipertansiyon) riskinde artış ile bağlantılı olabilir.
Kimyasal peeling gibi işlemler lekelerin görünümünü azaltabilir ancak dikkatli uygulanmalıdır.